파라 인플루엔자 감염증
증상
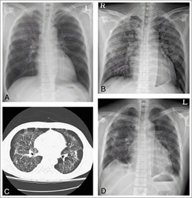
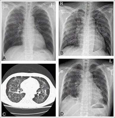
파라 인플루엔자 감염증은 소아 후두염의 가장 흔한 원인이다. 기침 소리가 놋쇠 소리나 개 짓는 소리처럼 날수 있다. 심한 청명음이 나타날 수 있다. 세기관지염이나 폐렴이 발생하면 천명음, 빈호흡, 늑간 함몰과 동반되는 진행성 기침이 나타난다. 이런 경우 심한 가래가 생긴다.
어느 정도 성장한 어린이나 성인에게는 기침이 나타나거나, 기침이 없는 감기나 목쉰 소리가 나타난다. 이러한 증상이 경미하게 나타나는 경우도 있다.

최근 31개월 아이를 둔 주무 김모씨는 아이의 열이 갑자기 38도 넘게 오르자 코로나19에 감염된 것은 아닌지 의심했다. 어린이집 외에는 외출이 없었지만 혹시나 하는 생각에 코로나 검사를 했고, 다행이 음성 판정을 받았다. 그런데 며칠이 지나도 열이 떨어지지 않고 39도까지 올랐고 다시 찾은 병원에서 ' 파라 인플루엔자 바이러스 '진단을 받았다.
코로나19와 유사한 증세를 보이는 파라 인플루엔자 바이러스(Hhuman parainfluenzavirus). 요즘 환절기 독감이 유행시기까지 앞두고 있어 건강관리에 주의가 필요하다. 파라 인플루엔자 바이러스에 감염 되면 어떻게 증상이 나는지 원인, 진단, 치료 등에 대해서 필자와 같이 알아보자.





정의
파라 인플루엔자 감염증은 파라 인플루엔자 바이러스로 인해 감염되는 질환이다. 파라 인플루엔자 바이러스는 파라 믹소비리데과에 속하는 상하부의 호흡기 감염을 일으키는 바이러스이다. 주로 감기와 같은 상기도 감염의 원인균이지만, 소아에게 후두염(크룹)을 유발하고, 성인에게 면역 저하를 일으키며, 환자에게 심한 폐렴을 일으킬 수 있는 질환이다.
원인
파라 인플루엔자 감염증의 원인은 파라 인플루엔자 바이러스이다. 파라 인플루엔자 감염증에 걸린 환자의 콧물, 객담 등이 호흡기를 통해 직간접적으로 전파되거나, 환자의 주변 환경 접촉을 통해서 전파가 된다. 혹시 감염에 걸렸다면 바깥 외출을 금하고 타인과 신체 접촉하지 않도록 주의하자.


잠복기
파라인플루엔자의 잠복기는 2~6일로 일반 호흡기 질환 증상처럼 콧물, 기침 등을 동반한 열증세를 보인다. 또는 상부기도에 생긴 염증으로 정상적 호흡이 어려운(크룹Croup) 증세가 나타날 수 있다.
진단
파라 인플루엔자 감염증의 진단을 위해서는 상기도 감염을 일으키는 바이러스 종류를 감별해야 한다. 기도 분비물 후두 면봉법, 비인두 세척액에서 바이러스를 발견하여 정확하게 진단한다. 바이러스는 세포 배양 검사나 유전자를 이용한 PCR 검사에서 확인할 수 있다.




치료
파라 인플루엔자 감염증의 치료는 이 질환이 일으킨 증상에 따라 달라진다. 소아에게 흔히 발생하는 후두염이 주요 원인이기 때문에, 입원 치료가 필요한 경우도 있다. 에피네피린 연무 치료(네불라이저)와 스테로이드제를 사용하기도 한다. 부비강염, 중이염, 중복 감염된 세균성 기관지염과 같은 합병증이 발생한다면 적당한 항생제를 투여해서 치료한다.
예방
현재 파라 인플루엔자 바이러스의 감염을 예방할 수 있는 백신은 없다. 수동적으로 모성으로부터 획득한 항체가 생후 몇 개월 동안 파라 인플루엔자 바이러스 1형과 2형 감염으로부터 신상아를 보호해주는 것으로 알려져 있어 모유수유의 중요성을 강조하고 있다.
감염을 예방하기 위해서는 자주 손을 닦고, 컵이나 식기 등을 함께 사용하지 않는 등 개인위생관리를 철저히 해야 한다.
경과
파라 인플루엔자 감염증으로 인해 급성 후두개염, 기관지염, 바이러스성 폐렴, 성인 호흡 장애 증후군, 길렝바레 증후군, 뇌염 등이 발생할 수 있다. 또한, 소아의 기도가 좁아지면서 급속하게 호흡 곤란이 지속될 수 있기 때문에 필요시 조기에 기관 삽관하여 기도를 확보하는 것이 주요하다.



특징적인 임상증상을 통해 파라 인플루엔자 바이러스 감염 여부를 감별해 볼 수 있지만 임상증상이 불분명하거나 전신증상, 호흡기증상으로 힘들어 하는 경우 소아청소년과에 내원해 전문의와 면밀한 상담을 하는것을 추천한다. 그리고 개인 위생수칙을 철처히 준수하고 호흡기 감염병에 대한 예방접종을 받는 것을 권장한다.
◈ 함께 보면 좋은 글!
델타변이 증상 총정리(순서, 잠복기, 치사율,백신)
목차 1. 델타변이 증상 2. 델타변이 증상 순서 3. 델타변이 잠복기&냉방병 4. 델타변이 치사율 5. 델타변이 백신 지식블로그에 방문해주셔서 감사드립니다. 독자분에게 유익한 글이 되셨다
blog-zlwhsor.com
학교,학원,공공장소에서 지켜야 할 방역수칙 3가지
목차 1. 마스크 착용 2. 손 자주 씻기 3. 사회적 거리유지 지식블로그에 방문해주셔서 감사드립니다. 독자분에게 유익한 글이 되셨다면 우측 상단 구독을 눌러주시면 주기적으로 필요한 정보
blog-zlwhsor.com
뇌졸중 " 전조증상 "과 원인, 기억하고 미리 예방하세요
목차 - 뇌졸중 전조증상과 원인들 1. 뇌졸중 전조증상, 종류, 원인들 뇌졸중 전조증상 뇌졸중 종류 뇌졸중 원인 뇌졸중의 위험 신호 가을, 겨울에 조심해야 하는 이유 뇌졸중 조심해야하는 사람
blog-zlwhsor.com
'건강' 카테고리의 다른 글
| 당화혈색소 낮추기·낮추는 방법 (1) | 2021.11.05 |
|---|---|
| 콜레스테롤 낮추는 음식 10가지, 체내 균형을 찾으세요 (0) | 2021.11.02 |
| 콜레스테롤 낮추는 방법, 수치를 낮춰야 하는 이유 (0) | 2021.11.02 |
| 공황장애 "증상" 알고 "자가진단" 해보세요 (0) | 2021.10.28 |
| 미주신경성 실신 - 정의,원인,전조증상 알아보자 (0) | 2021.10.28 |
| 췌장에 좋은 음식 7가지! 잘못된 식습관 개선하자 (0) | 2021.10.27 |




최근댓글